【裁断済み】アライナー矯正治療 アライナー矯正治療受診ナビ - クインテッセンス出版
(3096件)
Pontaパス特典
サンキュー配送
9280円(税込)
93ポイント(1%)
Pontaパス会員ならさらに+1%ポイント還元!
送料
(
)
3082
配送情報
お届け予定日:2026.04.08 22:58までにお届け
※一部地域・離島につきましては、表示のお届け予定日期間内にお届けできない場合があります。
ロットナンバー
9280896386
お買い物の前にチェック!
Pontaパス会員なら
ポイント+1%
ポイント+1%
商品説明

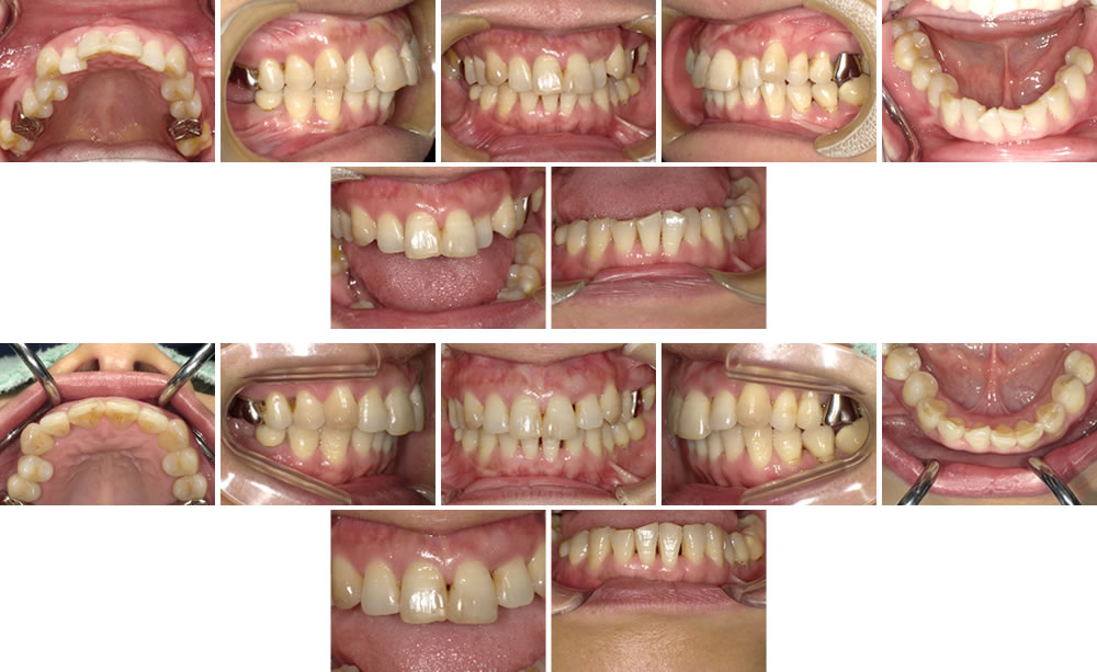
【始めにこちらをお読みください】・本商品は裁断済みです。・スキャン目的のため、1ページずつバラバラの状態になっています。・裁断済みのためやや傷や汚れありのコンディションにしていますが、中のページにつきましては、書き込みや大きな汚れはなく、比較的良好な状態です。・裁断済みであることをご理解のうえ、ご購入をお願いいたします。・裁断済みを理由とした返品はご容赦ください。・まとめ買いご希望の方はお気軽にご申請下さい。アライナー矯正治療に関する包括的なガイド。- タイトル: アライナー矯正治療- 著者: ワーナー・シューブ、ユリア・ハウプリッヒ- 内容: 診断、治療計画、矯正および顎矯正治療定価(本体22,000円+税)ご覧いただきありがとうございます。
| カテゴリー: | 本・雑誌・漫画>>>本>>>健康・医学 |
|---|---|
| 商品の状態: | やや傷や汚れあり","目につく傷や汚れがある |
| 配送料の負担: | 送料込み(出品者負担) |
| 配送の方法: | 佐川急便/日本郵便 |
| 発送元の地域: | 新潟県 |
| 発送までの日数: | 1~2日で発送 |
レビュー
商品の評価:




4.6点(3096件)
- 1968ジョニー
- 子ども園の先生がおすすめしていたので購入しました! もう何度読んだか?と言うくらい読み聞かせで何度も読んでいます
- pompom9999
- 子供に頼まれての購入です。面白いお話のようです。
- ほしゃ
- 孫が週1回〜2回遊びに来るが、この恐竜の本が好きで毎回楽しそうに眺めています。
- 夏魅☆
- 4ヶ月の娘に購入。 サッシーのイラストが大好きでよく笑うので買いました(*'ェ'*) 原色が多いので赤ちゃんでもよく見てくれるので毎日読んでます♪
- ハル188105
- 興味は一瞬で燃え尽きますが、楽しめました。
- りんごhappy
- 値段が少し高いこと以外はおおむね満足です
- 00009
- ほんとにかわいい。 3歳の息子とどハマり中…(母の方がハマってるかも) 細かい文言がすてき。
- ヤァス2429
- 同じシリーズの他の作品を図書館で借りて読んだら子供(4歳)がとても喜び、他のも読みたいと言ったので注文してみました。読み聞かせたり、自分でも少し読んだりして楽しんでます。
- hiro-K2
- 微笑ましい場面が満載で本当に楽しい本です♪
- まさりん38
- 娘様に買いました。 まだ小さいのでうまく触ったりはしませんが、音楽聞かせながら本を開くとじっと見ております。 少しの反応でも引き出せて嬉しいく大変満足してます。
- パッツン2913
- 2歳の子供に毎日読まされています。 シンプルですがおもしろいんだと思います。
- 家具大好き9456
- はやくちでしゃべるとかんでしまいそうです。
- くるつ4103
- 子ども向けの本らしいですが、そうとは決めつけられない内容の濃さがあり、大人の読み物としても楽しいようです。全国から選りすぐられた技術を持った重機オペレーター・鳶職の方々の装備やら色々掲載されているとか(こういう技術職の話は大好きなのです)。届くのが実に楽しみです。お子様へのプレゼントにも良いかもしれませんよ。
- shushu0903
- 1歳の息子のために購入。 しかけ絵本の中でもおしゃれな雰囲気が好きで 息子も喜んで見ていたのでとても満足しています。
- myappy
- いとこが遊びに来た際、持参していたものをかなりの勢いで食いついていたので購入してあげました。『おにのパンツ』等、スピードが早くついていけなかったりしますが、この本はゆっくりめなので楽しく遊べます。もっと早くから購入してあげればよかったと思いました。
- mameshiba03
- 2歳になった女の子でチェブラーシカが大好きな孫に、本には絵が小さくて少ないと言う評判でしたので、「チェブラーシカ [ エドゥアールト・ウスペンスキー ] 」と「チェブラーシカともだちいっぱいシール」を対で購入しました。いわれ・・・などを聞きながら本やシール帖にシールを貼っています。
すべて見る
お店の情報
7,367
連絡・応対
4.3
配送スピード
4.3
梱包
4.3










